Dois-je faire enlever mes dents de sagesse?
Les dents de sagesse et votre santé bucco-dentaire
Au cabinet dentaire Claude Monet, nous portons une attention particulière à la surveillance des dents de sagesse. Ces dents, qui apparaissent généralement à l’âge adulte, jouent un rôle crucial dans l’alignement de votre sourire et le confort de votre bouche. Nous recommandons une évaluation régulière pour détecter et traiter tout problème potentiel.
Identifier les problèmes liés aux dents de sagesse
Les dents de sagesse peuvent entraîner diverses complications, telles que l’encombrement des autres dents, des infections, et parfois des douleurs. Notre équipe expérimentée au cabinet Claude Monet offre des examens approfondis pour évaluer l’état de vos dents de sagesse. Après analyse, nous vous conseillons sur la nécessité d’une extraction.
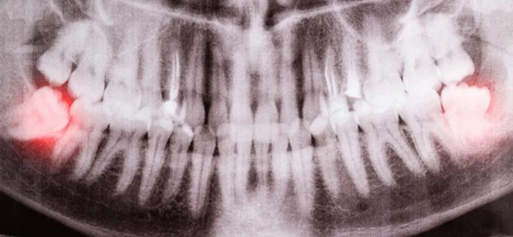
Quand l’extraction est-elle nécessaire ?
Au cabinet dentaire Claude Monet, nous utilisons des technologies radiographiques avancées pour évaluer avec précision les risques liés à vos dents de sagesse. Lorsque des problèmes tels que des dents impactées ou un risque de complications futures sont identifiés, nous discutons avec vous des différentes options de traitement. Notre objectif premier est toujours de maintenir votre confort et votre santé bucco-dentaire.

La procédure d’extraction et les soins post-opératoires
Si une extraction s’avère nécessaire, nos patients sont entre de bonnes mains. Nous expliquons en détail la procédure et préparons chaque patient individuellement pour une intervention et une cicatrisation sans complication. Après l’extraction, nous offrons un suivi attentif et des conseils personnalisés pour assurer une guérison rapide et confortable.
Pourquoi choisir le cabinet dentaire Claude Monet ?
Notre cabinet est reconnu pour fournir des soins dentaires de haute qualité, y compris la gestion experte des dents de sagesse. Nous traitons chaque cas avec une approche personnalisée, assurant une communication claire et efficace avec nos patients. Nous nous engageons à offrir des solutions adaptées à chaque situation dentaire, en mettant l’accent sur le confort et la satisfaction de nos patients.
Les dents de sagesse, bien que souvent négligées, sont un aspect crucial de la santé bucco-dentaire. Au cabinet dentaire Claude Monet, nous vous accompagnons à chaque étape, de l’évaluation initiale à l’extraction, si nécessaire. Nous nous engageons à offrir les meilleurs soins possibles pour maintenir votre sourire sain et éclatant.